CASES 症例紹介
ここでは特徴的な症例について、一部をご紹介いたします。
※手術の写真を掲載しておりますので、苦手な方はご注意ください。
小滝橋動物病院グループ全体の外科症例件数については、>こちらをご参照ください。
一般外科症例

猫の尿管結石(SUBシステム)

目次


猫の尿管結石について


腎臓で作られた尿は、尿管を通り膀胱まで運ばれます。
猫ちゃんの尿管は非常に細く(0.4〜0.5mm)、小さな結石や砂、血餅、炎症産物などにより閉塞や、尿管炎などでも閉塞を起こしてしまうことがあります。
もし尿管結石による尿管閉塞をおこしてしまった場合も、猫の尿管結石の成分は90%以上がシュウ酸カルシウムであり、基本的に内科的な溶解療法(食事療法など)は適応になりません。

猫の腎臓は人と同じで左右1つずつあるため、片側のみの尿管閉塞の場合は、反対腎臓の機能は正常であれば特に体調を崩さないことも多く、症状に気づかれないこともあります。
しかし、すでに片側の腎機能が低下している、または両側の尿管閉塞を起こしてしまった場合は、急性腎不全に陥り命に関わってくる可能性もあるため、早急な治療介入が必要なケースも多いです。

治療方法としては、大きく分けて
① 内科治療(点滴治療、ステロイド剤、尿管弛緩剤など)
② 外科治療(尿管結石の摘出、尿路変更術)
があります。
内科治療で尿管結石が膀胱まで移動する可能性は低く、場合によっては内科治療により尿毒症症状が悪化してしまう場合もあります。
また、尿管閉塞解除が遅れれば、その分腎機能は落ちてしまうため、できるだけ早急に治療をすることが腎機能の温存においては重要です。
外科治療も尿管切開術、尿管膀胱吻合術などの人工デバイスを使用しない方法や、SUBシステム、尿管ステントといった人工デバイスを使用する方法など、さまざまなやり方があります。
前述しましたが、猫ちゃんの尿管は非常に細いため、術後の合併症も起こりやすいといわれています。
当院では、患者様がおかれた状況に応じて、外科手術をするべきなのか、タイミング、術式の選択など、飼い主様へご説明させていただき、その子にとって一番ベストな方法を一緒に考えさせて頂いています。



猫の尿管結石にSUBシステムを設置した実際の症例


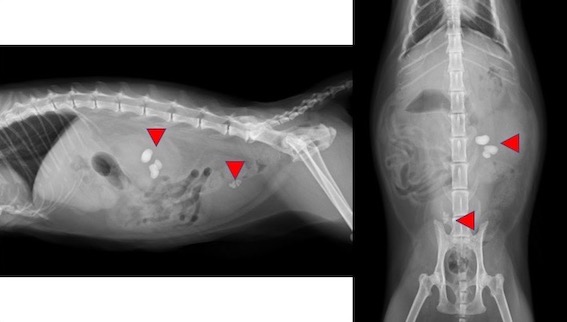
今回の症例は、左側の腎盂内に複数個の結石があり、その1つが近位尿管に閉塞していました。同時に膀胱結石も認められました。
レントゲン検査画像です。
超音波検査画像です。
左腎は重度の腎盂拡張が認められました。
右腎は萎縮しており、腎機能はかなり低下していることが予想されました。
腎数値も上昇しており(尿素窒素102mg/dl、クレアチニン7.91mg/dl)、1日間点滴治療を行いましたが、改善が認められなかったため、今回はSUBシステムの設置を行うことになりました。
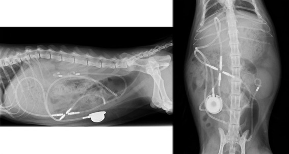
手術後のSUBシステムの位置関係はこのようになります。
SUBシステム(皮下尿管バイパスシステム)とは、
近年開発されたもので、腎臓と膀胱を直接カテーテルでつないでしまうというものです。
まだ長期的な予後は不明な点が多いですが、術後にカテーテル内に血餅がつまってしまったり、カテーテルの折れ曲がり、カテーテル内部の石灰化による閉塞や尿路感染症などの合併症が報告されています。
皮下にポートを埋め込み、術後も定期的にカテーテル内部を洗浄してあげる必要があります。
皮下に埋め込むスワールポートです。↓↓
両側に設置した症例です。↓↓
なんでもかんでもSUBシステムが良いというわけではなく、それぞれの患者様によって、病態は違うため、何が最良なのかを適宜選択していくことが重要だと思います。
何かご質問などあれば、お気軽に頂ければと思います。


中野区の江古田の森ペットクリニック
執筆担当:獣医師 岩崎 真優子