CASES 症例紹介
ここでは特徴的な症例について、一部をご紹介いたします。
※手術の写真を掲載しておりますので、苦手な方はご注意ください。
小滝橋動物病院グループ全体の外科症例件数については、>こちらをご参照ください。
一般外科症例

膝蓋骨脱臼

目次


膝蓋骨脱臼について


犬の膝蓋骨脱臼を紹介したいと思います。
膝蓋骨は一般的には膝のお皿と呼ばれているもので、膝関節の曲げ伸ばし運動を滑らかになるように助ける種子骨です。
膝関節周囲の解剖図
膝蓋骨脱臼は外方または内方に発生し、先天性や外傷性に外れてしまいます。



膝蓋骨脱臼のグレード分類


症状は無症状から重症まで幅が広いため、膝蓋骨の脱臼の程度で以下のように分類されます。

・Grade1 : 膝蓋骨は手で押すと脱臼するが、手を離せば元に戻る。
・Grade2 : 膝蓋骨は膝を屈曲するか手で押せば脱臼し、膝を伸展するか手で押せば元に戻る。
・Grade3 : 膝蓋骨は常時脱臼したままで、手で押せば元の位置には戻るが手を離せば再び脱臼する。
・Grade4 : 膝蓋骨は常時脱臼したままで、手で押しても元に戻らない。
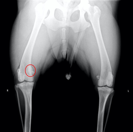
右の膝蓋骨が内方に脱臼しています。



膝蓋骨脱臼の治療


治療方法は外科手術による膝蓋骨の整復になります。
手術方法はグレードに応じて以下のものを単独、または組み合わせて行います。

・滑車造溝手術
 膝蓋骨が乗っている大腿骨滑車が浅い場合ここをブロック状に切り、溝を深くして膝蓋骨を外れにくくします。
 膝蓋骨脱臼の症例はこの溝が浅くなっているため、ほぼ全例に行う手技です。

・内側膝蓋支帯の解離手術
 膝蓋骨に付着している大腿内側の筋肉の付着部を変更することで、膝蓋骨の内側への牽引力を緩めます。

・外側膝蓋支帯の縫縮手術
 余剰の外側膝蓋支帯をオーバーラップまたは余剰部を切離して創面を縫合することで膝蓋骨を外側に牽引します。

・脛骨粗面転移手術
 膝蓋靭帯の付着部である脛骨綾を一部切離して移動固定する術式です。足のアライメント(筋肉や骨靭帯のバランス)を
 整えることにより脱臼しにくく矯正を目的とします。
滑車溝が浅く膝蓋骨が脱臼しやすくなっています。
滑車造溝手術 : 大腿骨滑車の溝を深くして脱臼しにくくします。
脛骨粗面転位手術 : 脛骨粗面を移動しピンで固定しています。